Anatomy Modules
Labeled radiographs and scrollable CT/MRI series teaching radiologic anatomy with a level of detail appropriate for medical students and junior residents.
Brain
Covers basic brain and calvarial anatomy on CT and MRI.
Chest
Covers basic chest radiograph and chest CT anatomy.
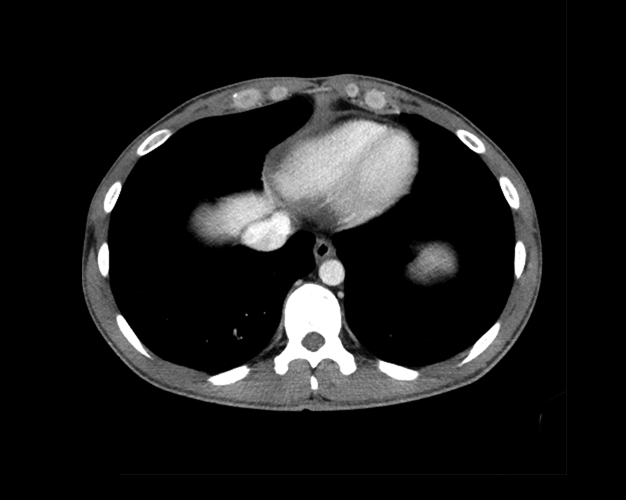
Cardiac
Covers basic cardiac CT anatomy.
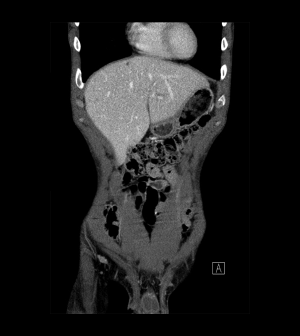
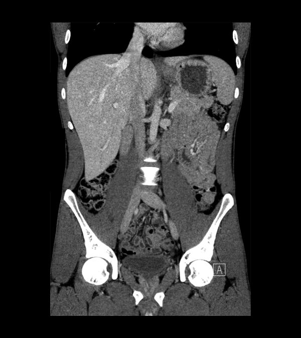
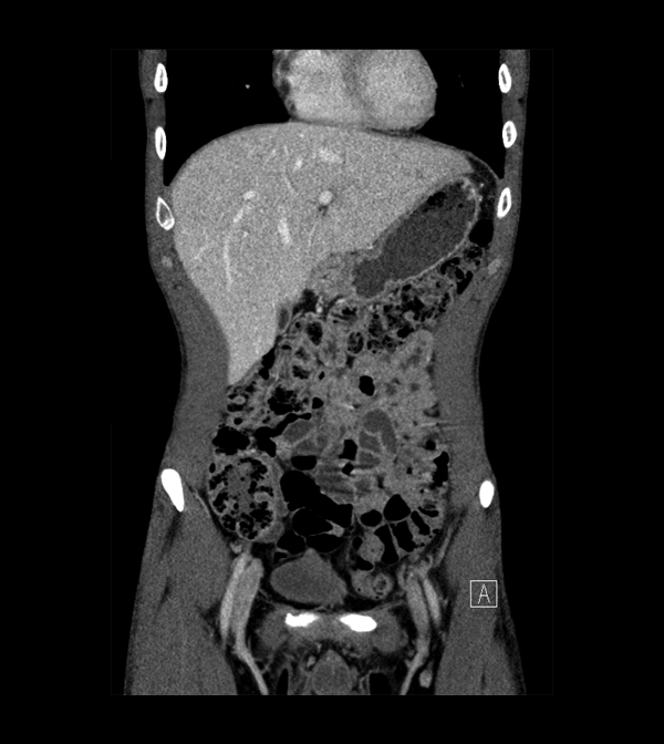
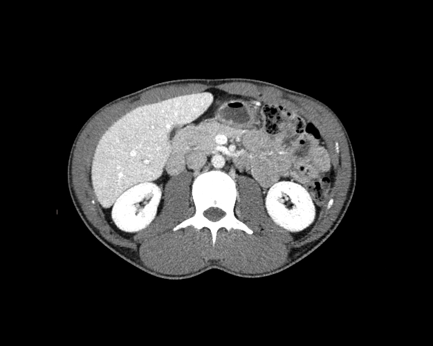
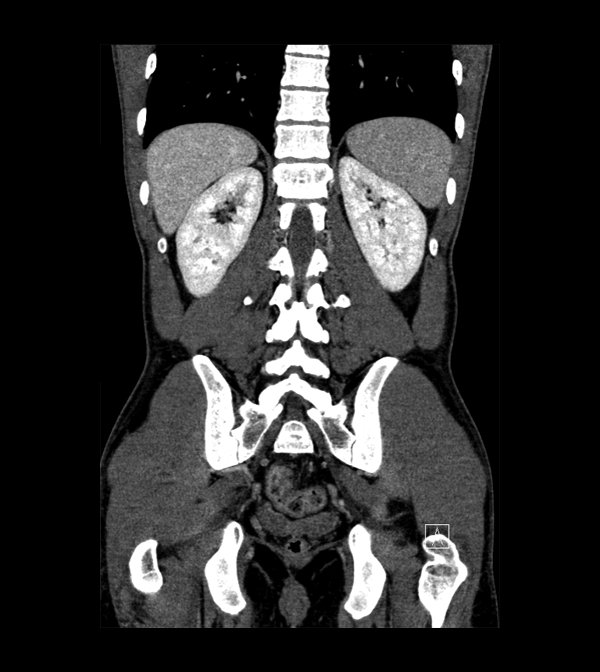
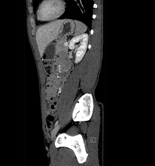
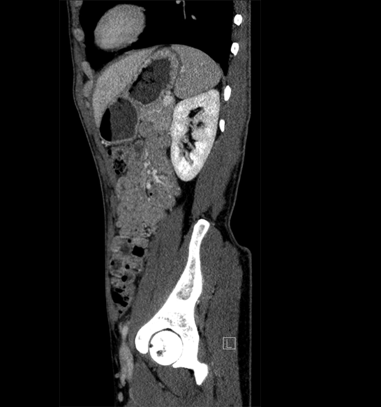
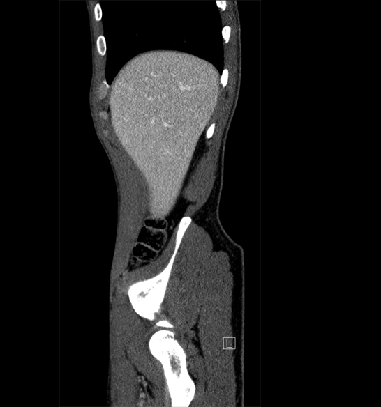
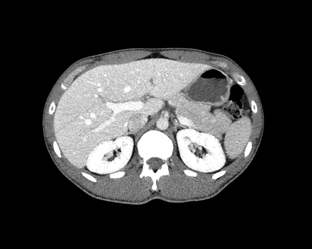
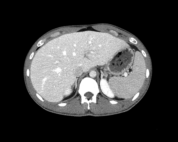
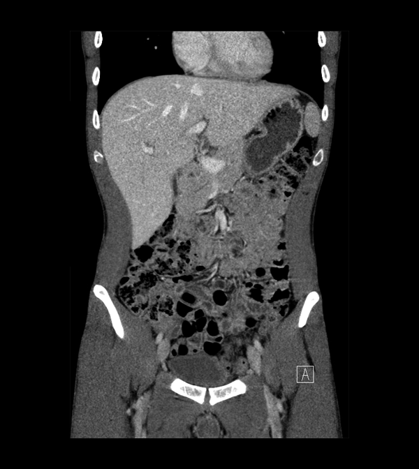
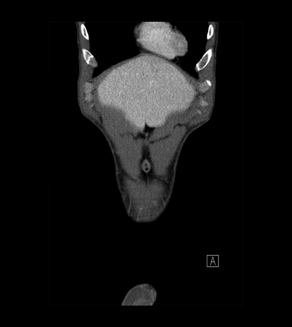
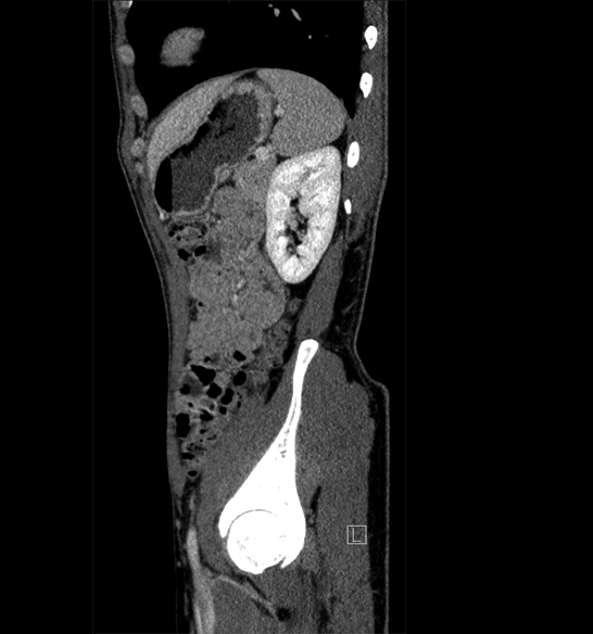
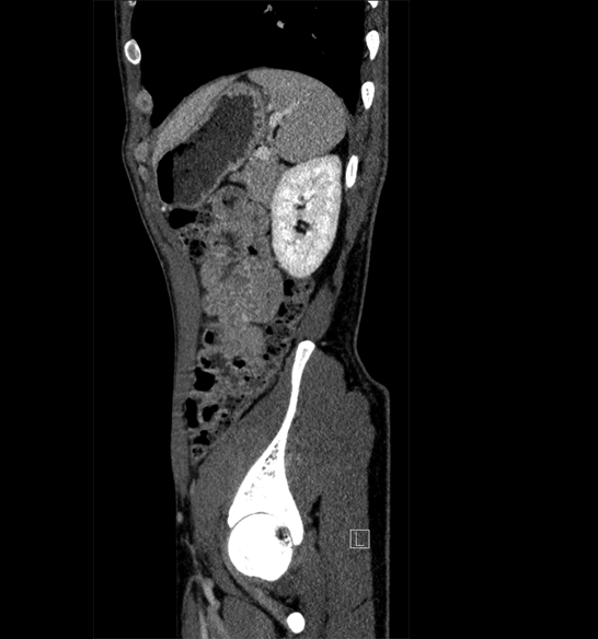
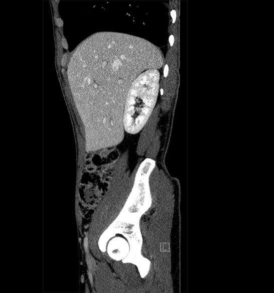
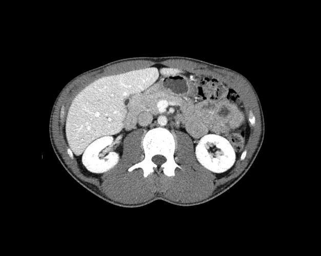
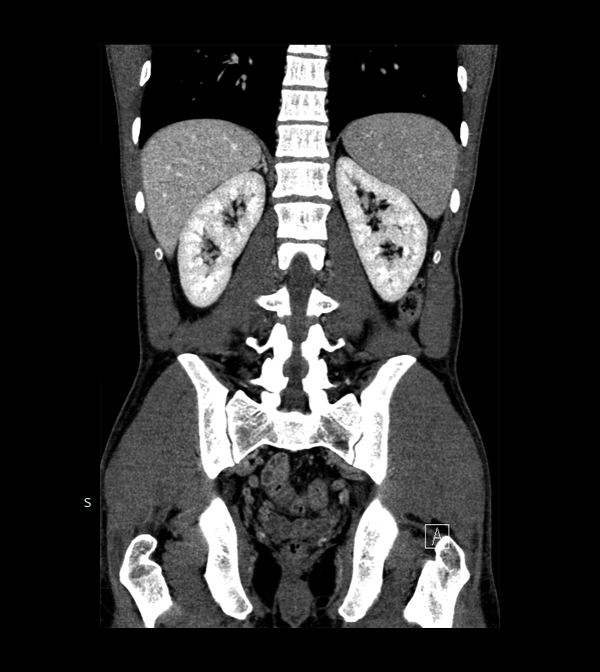
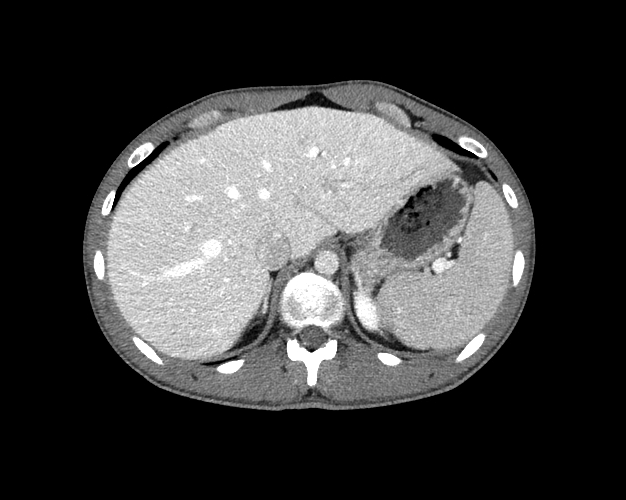
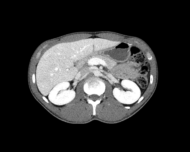
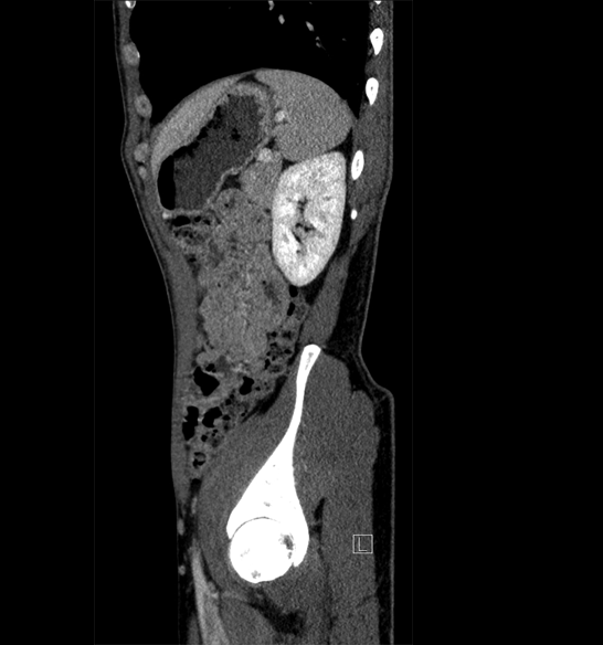
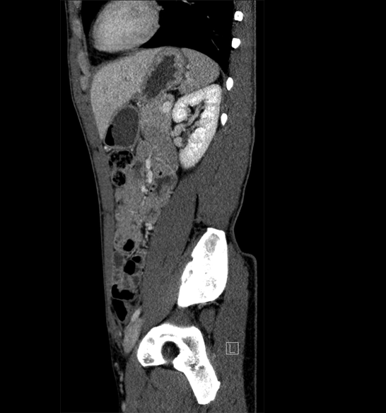
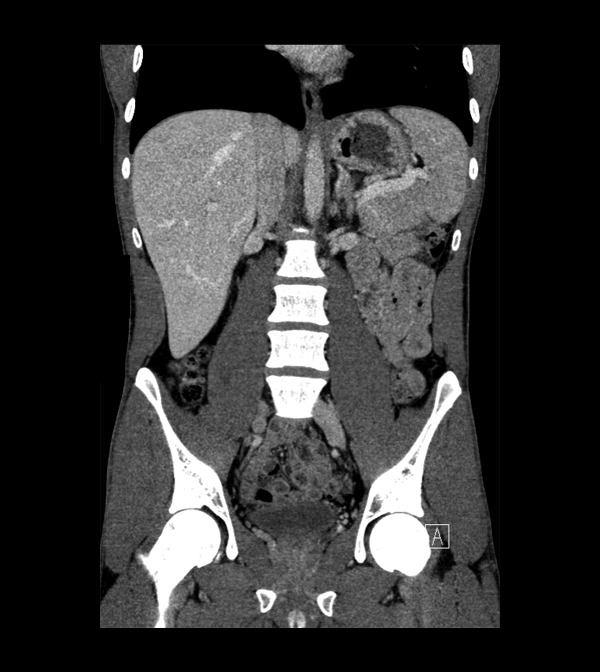
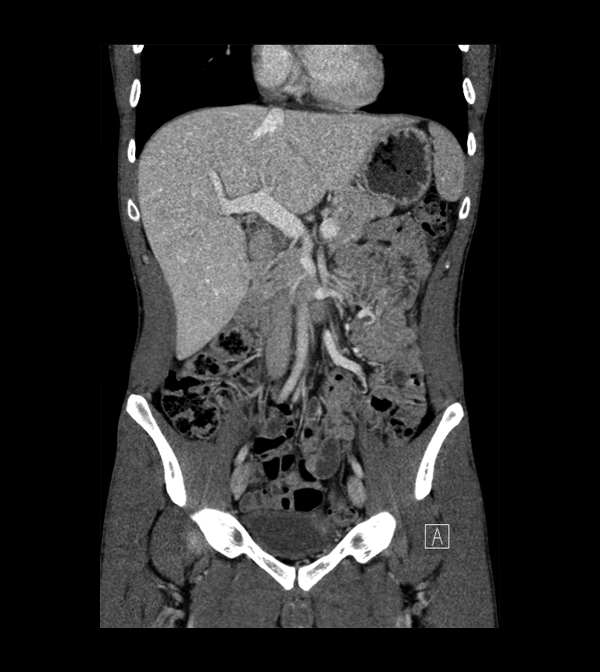
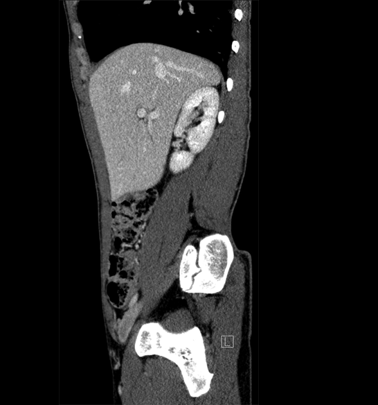
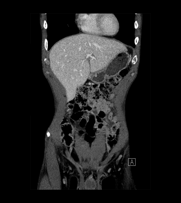
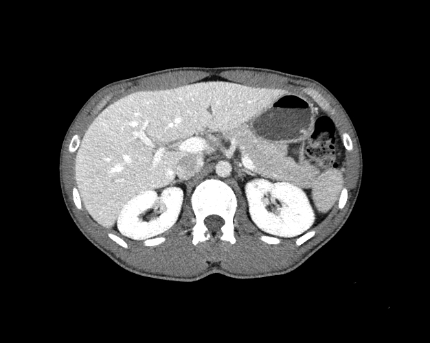
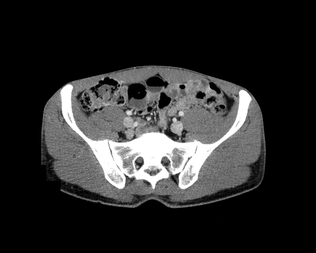
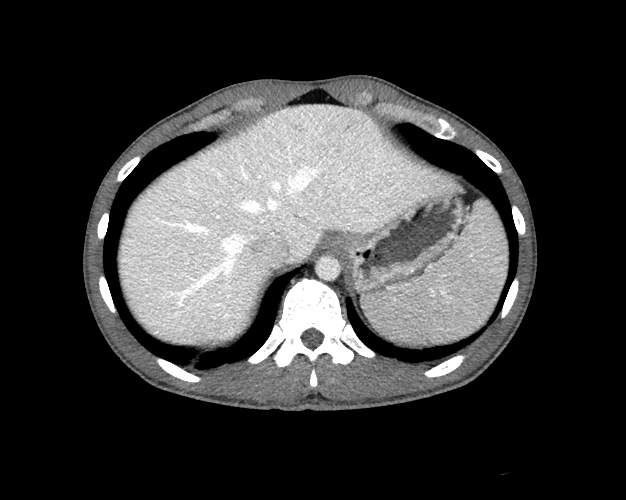
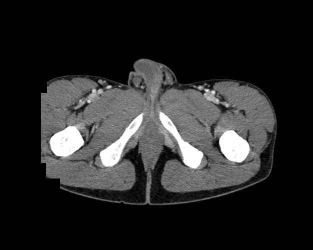
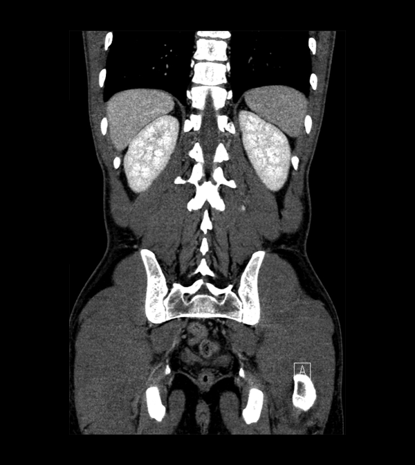
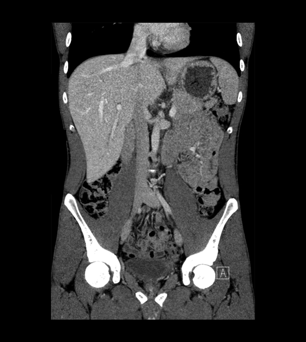
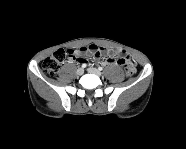
Body
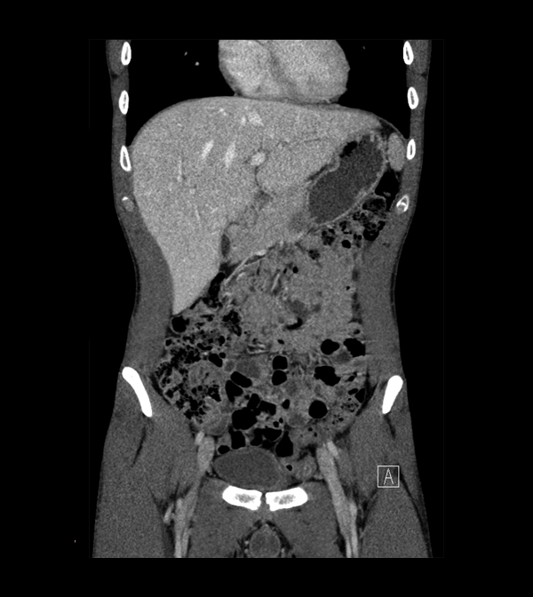
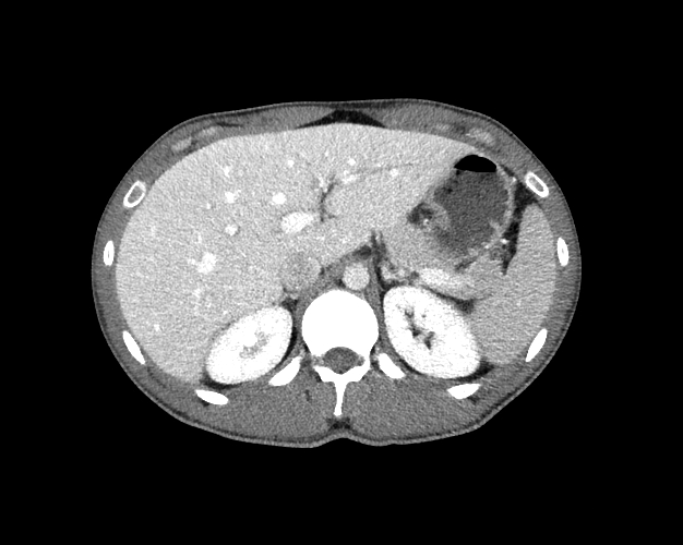
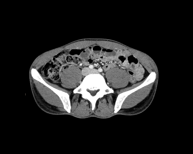
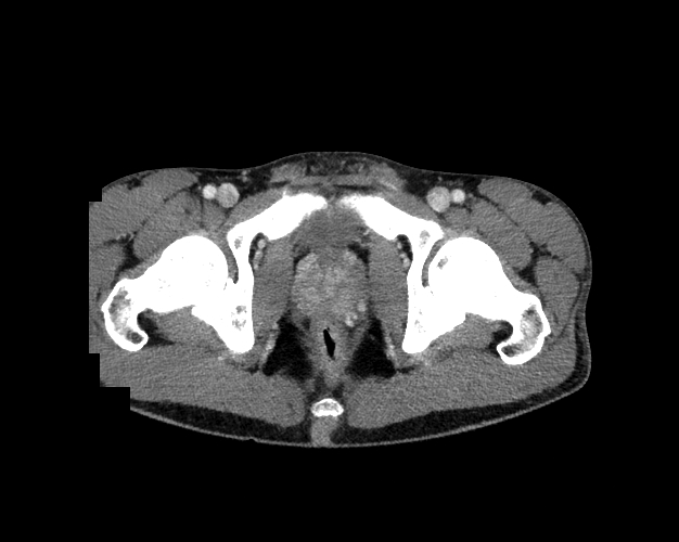
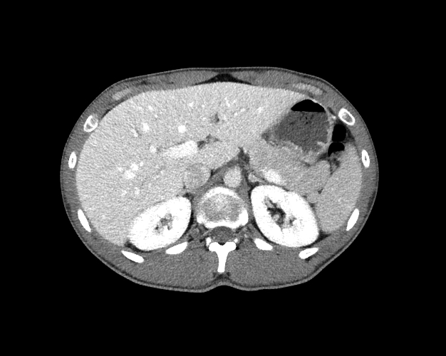
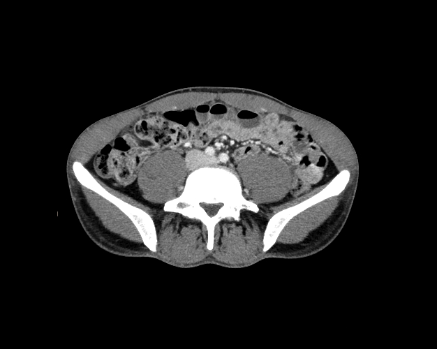
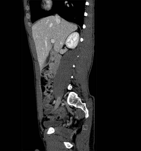
Covers abdominal CT anatomy.
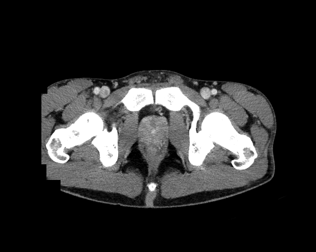
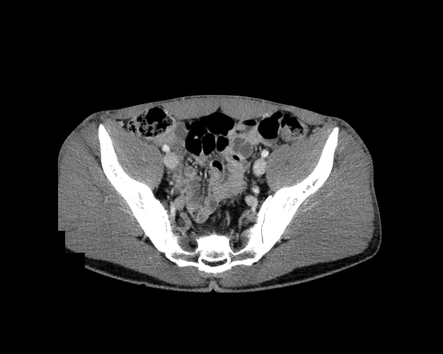
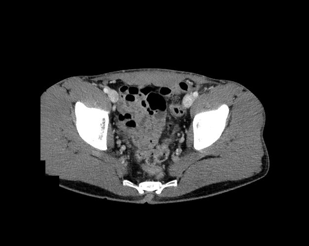
Pelvis
Covers pelvic MRI anatomy.
Shoulder
Covers shoulder MRI anatomy.
Knee
Covers knee MRI anatomy.
Cranial Nerves Advanced
Covers the course of the cranial nerves on MRI. Created with Tom West, MD.
Temporal Bone Advanced
In-depth review of temporal bone anatomy on CT. Created by Paul Bunch, MD.