Age: 60
Sex: Female
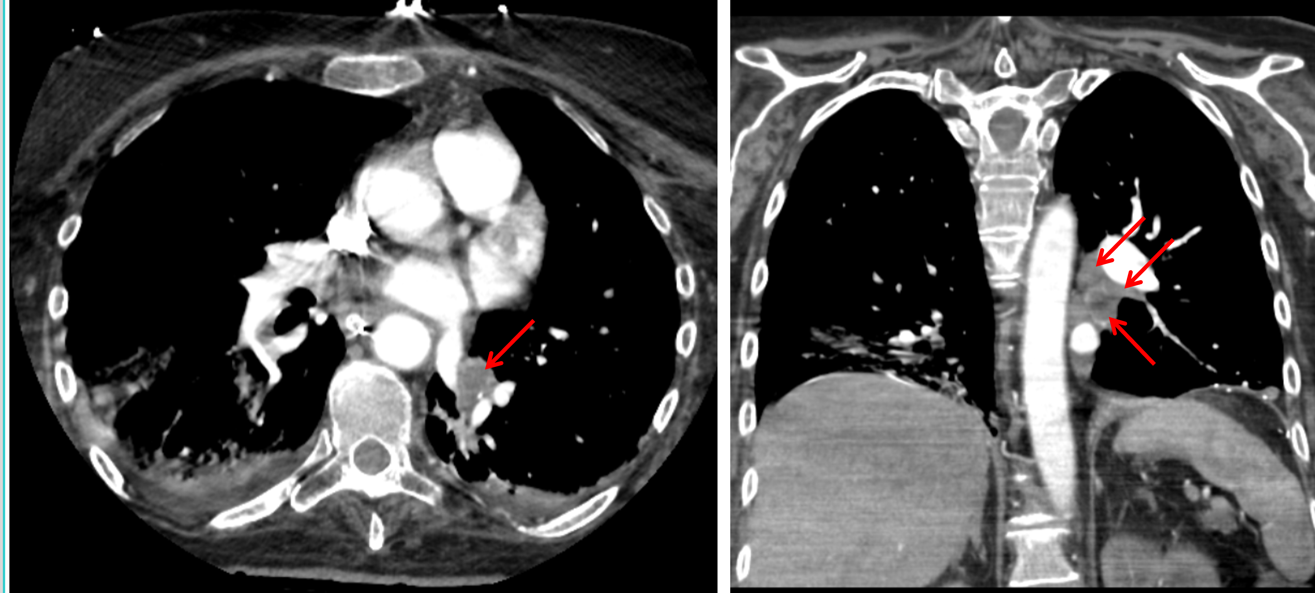
Indication: Acute respiratory failure
Chest radiograph
CT
Sample ReportFindings consistent with massive aspiration.
Age-indeterminate T9 compression fracture without bony retropulsion. Recommend correlation with point tenderness at this location.
250 cases
146 cases
372 cases
281 cases
84 cases
97 cases
43 cases
140 cases
75 cases

• Shuffle cases from our courses to simulate the mix of a call shift.
• Submit your own report before reviewing the case write-up.
250 cases
146 cases
372 cases
281 cases
75 cases
84 cases
97 cases
127 cases
43 cases
105 cases
13 cases
• Shuffle cases from our courses.
• Submit your own report.
• Earn up to 91 CME.
• Claim your CME to receive a certificate.
• Shuffle cases from our courses to simulate the mix of a call shift.
• Submit your own report before reviewing the case write-up.
• Earn up to 91 CME by completing cases in our radiology courses.
• Claim your CME to receive a certificate.
Reference database of normal imaging from birth to age 16
Summary of consensus guidelines for managing incidental CT findings
Index of select illustrations & videos from our courses
Visual reference for common mimics of pathology on CT
Reference database of normal imaging from birth to age 16
Summary of consensus guidelines for managing incidental CT findings
Index of select illustrations & videos from our courses
Visual reference for common mimics of pathology on CT
Pelvic MRI anatomy
Chest radiograph & CT anatomy
Abdominal CT anatomy
Cardiac CT anatomy
Brain & calvarial anatomy on CT/MRI
Cranial nerves on MRI
Shoulder MRI anatomy
Knee MRI anatomy
Resident/fellow-level anatomy
Pelvic MRI anatomy
Chest radiograph & CT anatomy
Abdominal CT anatomy
Cardiac CT anatomy
Brain & calvarial anatomy on CT/MRI
Cranial nerves on MRI
Shoulder MRI anatomy
Knee MRI anatomy
Resident/fellow-level anatomy
250 cases
146 cases
105 cases
13 cases
Coming soon
250 cases
146 cases
105 cases
13 cases
Coming soon
• Claim your CME to receive a certificate.
• Shuffle cases from our courses to simulate the mix of a call shift.
• Submit your own report before reviewing the case write-up.
• Earn up to 91 CME by completing cases in our radiology courses.
• Claim your CME to receive a certificate.
250 cases
146 cases
372 cases
281 cases
75 cases
84 cases
97 cases
140 cases
43 cases
• Shuffle cases from our courses to simulate the mix of a call shift.
• Submit your own report before reviewing the case write-up.
• Earn up to 91 CME by completing cases in our radiology courses.
• Claim your CME to receive a certificate.
|
|
|
|
|
|
|
|

Previous Slice (PC)
Next Slice (PC)
SHIFT
Previous Slice (MAC)
SHIFT
Next Slice (MAC)


Previous series (if multiple)
Next series (if multiple)
Previous case (⌘ ◄ on a mac)
Next case (⌘ ► on a mac)

Toggle dark mode