Non-traumatic Head CT Cases

 

Classic Cases

Includes classic examples of cases commonly seen on call.

Show/Hide Diagnosis

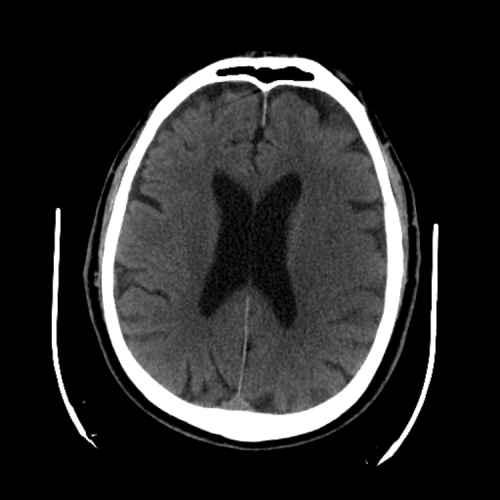
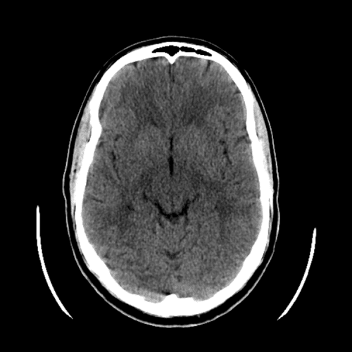
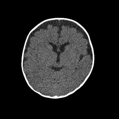
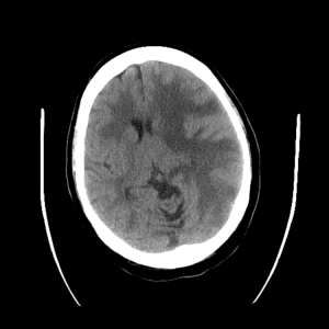
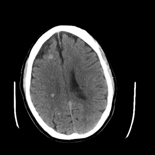
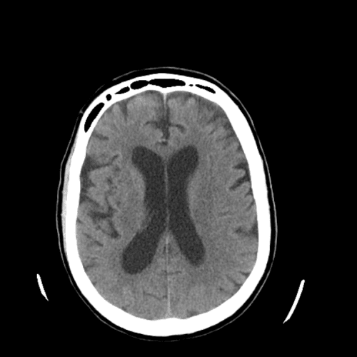
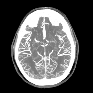
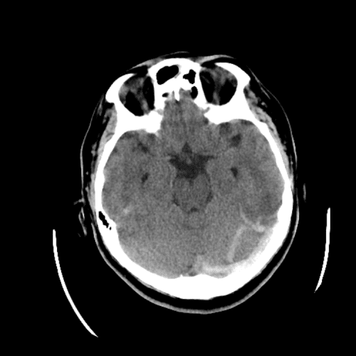
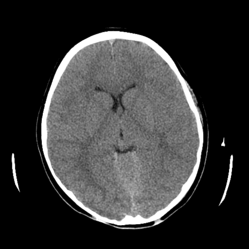
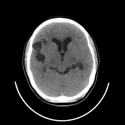
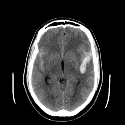
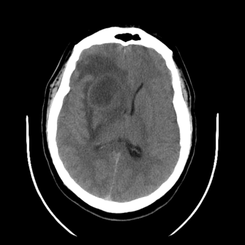
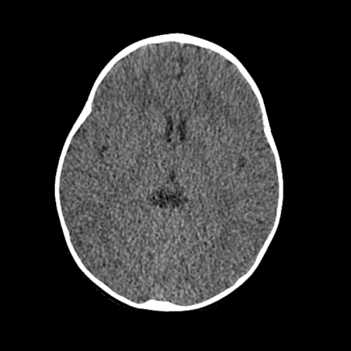
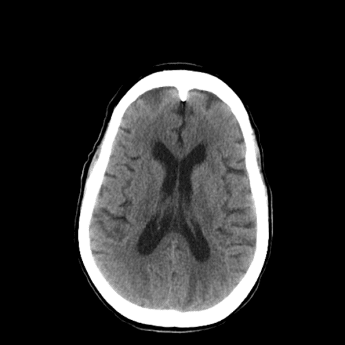
ACA and MCA territory infarct

Case #1


Free

Log in to track your progress.

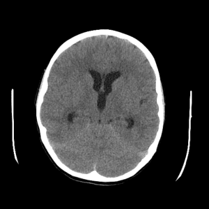
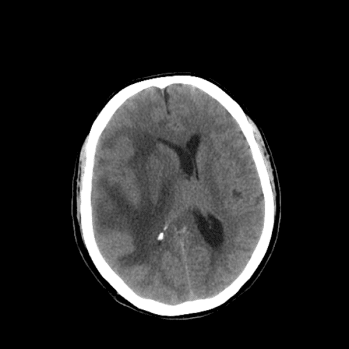
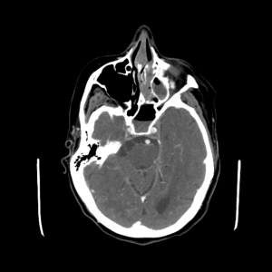
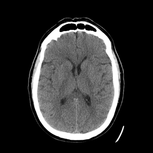
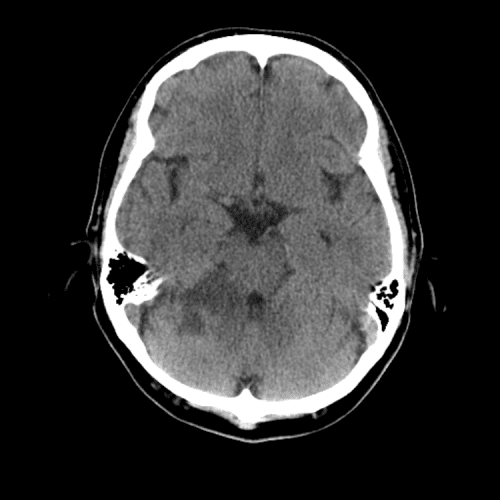
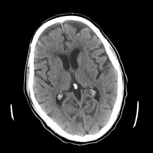
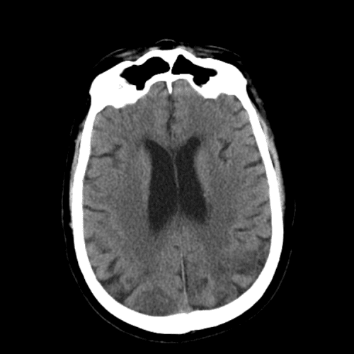
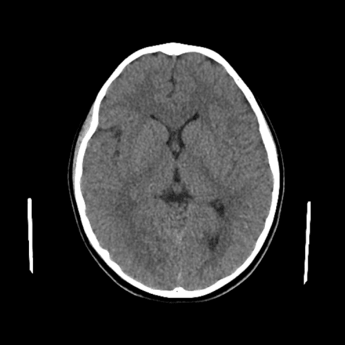
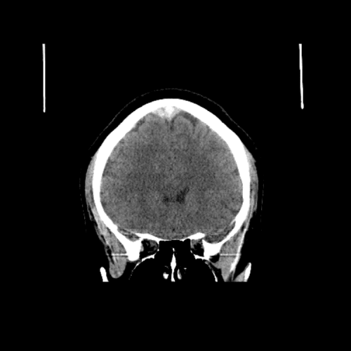
PCA infarct

Case #2


Free

Log in to track your progress.

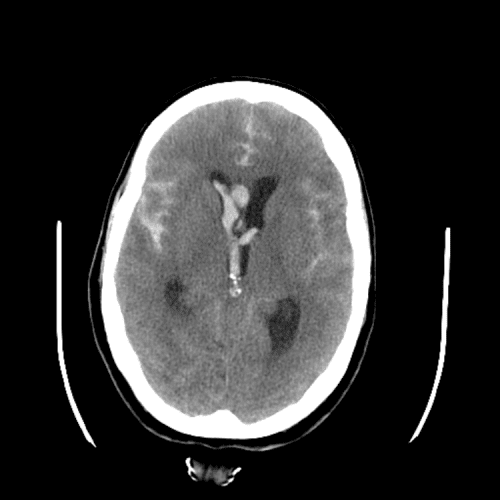
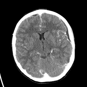
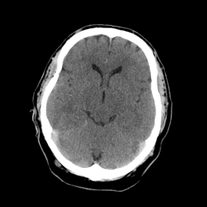
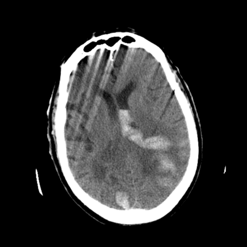
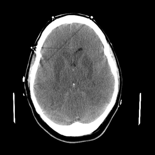
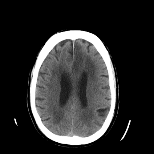
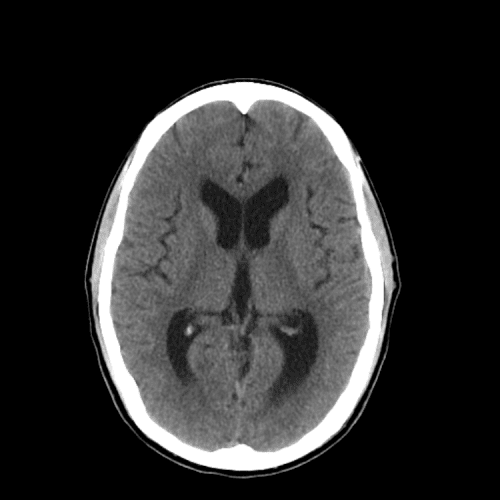
Case #3

Case #3


Free

Log in to track your progress.

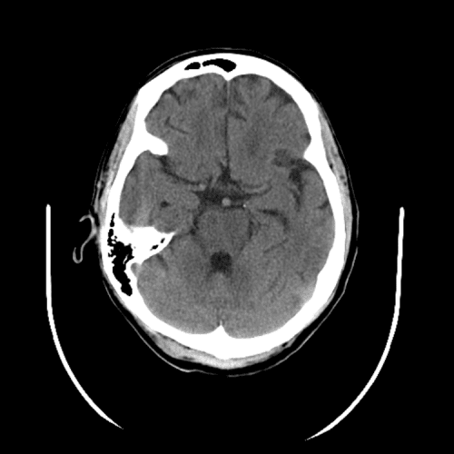
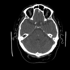
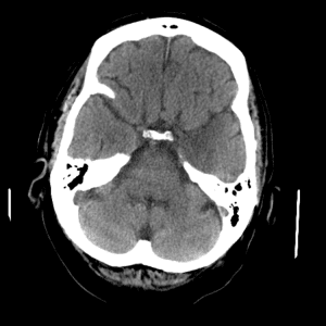
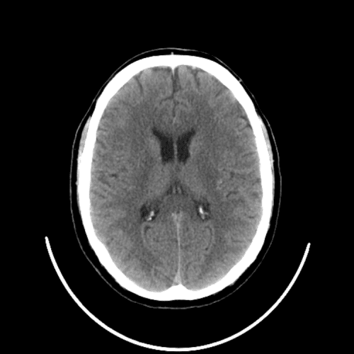
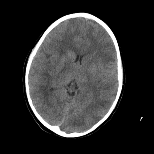
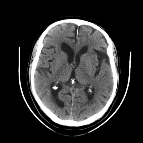
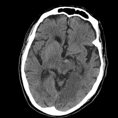
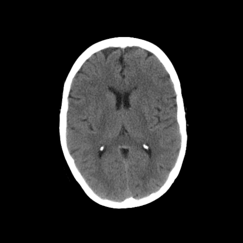
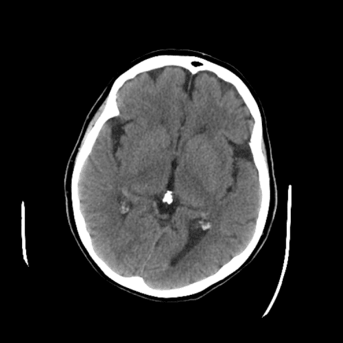
PICA infarct

Case #4


Pro

Log in to track your progress.

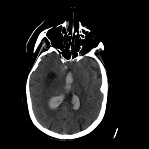
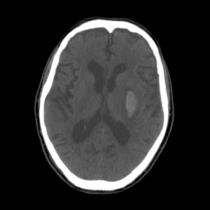
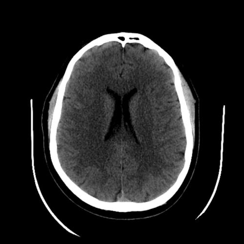
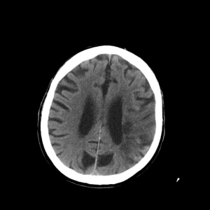
Internal capsule lacunar infarct

Case #5


Pro

Log in to track your progress.

Superior cerebellar artery infarct

Case #6


Pro

Log in to track your progress.

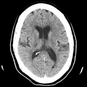
Lacunar infarct

Case #7


Pro

Log in to track your progress.

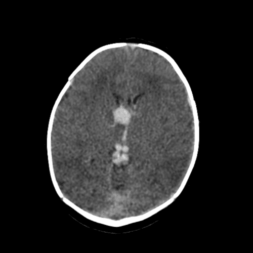
Basilar artery thrombosis

Case #8


Pro

Log in to track your progress.

Watershed ischemia

Case #9


Pro

Log in to track your progress.

Cardioembolic infarcts

Case #10


Pro

Log in to track your progress.

Deep venous infarct

Case #11


Pro

Log in to track your progress.

cerebral edema

Case #12


Pro

Log in to track your progress.

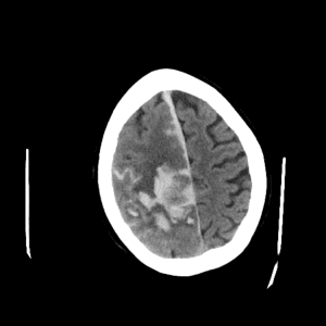
Case #13

Case #13


Pro

Log in to track your progress.

Case #14

Case #14


Pro

Log in to track your progress.

Case #15

Case #15


Pro

Log in to track your progress.

Case #16

Case #16


Pro

Log in to track your progress.

Case #17

Case #17


Pro

Log in to track your progress.

Case #18

Case #18


Pro

Log in to track your progress.

Case #19

Case #19


Pro

Log in to track your progress.

Basilar artery thrombosis

Case #20


Pro

Log in to track your progress.

Case #21

Case #21


Pro

Log in to track your progress.

Case #22

Case #22


Pro

Log in to track your progress.

Case #23

Case #23


Pro

Log in to track your progress.

Case #24

Case #24


Pro

Log in to track your progress.

Case #25

Case #25


Pro

Log in to track your progress.

Case #26

Case #26


Pro

Log in to track your progress.

Case #27

Case #27


Pro

Log in to track your progress.

Case #28

Case #28


Pro

Log in to track your progress.

Case #29

Case #29


Pro

Log in to track your progress.

Case #30

Case #30


Pro

Log in to track your progress.

Case #31

Case #31


Pro

Log in to track your progress.

Case #32

Case #32


Pro

Log in to track your progress.

Case #33

Case #33


Pro

Log in to track your progress.

 

Practice Cases

Simulates call by including subtle or difficult cases and some normals.

Show/Hide Diagnosis

Case #1

Case #1


Pro

Log in to track your progress.

Case #2

Case #2


Pro

Log in to track your progress.

Case #3

Case #3


Pro

Log in to track your progress.

Case #4

Case #4


Pro

Log in to track your progress.

 

Case #5

Case #5


Pro

Log in to track your progress.

Case #6

Case #6


Pro

Log in to track your progress.

Case #7

Case #7


Pro

Log in to track your progress.

Case #8

Case #8


Pro

Log in to track your progress.

Case #9

Case #9


Pro

Log in to track your progress.

Case #10

Case #10


Pro

Log in to track your progress.

Case #11

Case #11


Pro

Log in to track your progress.

Case #12

Case #12


Pro

Log in to track your progress.

Case #13

Case #13


Pro

Log in to track your progress.

Case #14

Case #14


Pro

Log in to track your progress.

Case #15

Case #15


Pro

Log in to track your progress.

Case #16

Case #16


Pro

Log in to track your progress.

Case #17

Case #17


Pro

Log in to track your progress.

Case #18

Case #18


Pro

Log in to track your progress.

Case #19

Case #19


Pro

Log in to track your progress.

Case #20

Case #20


Pro

Log in to track your progress.

Case #21

Case #21


Pro

Log in to track your progress.

Case #22

Case #22


Pro

Log in to track your progress.

Case #23

Case #23


Pro

Log in to track your progress.

Case #24

Case #24


Pro

Log in to track your progress.

Case #25

Case #25


Pro

Log in to track your progress.

Case #26

Case #26


Pro

Log in to track your progress.

Case #27

Case #27


Pro

Log in to track your progress.

Case #28

Case #28


Pro

Log in to track your progress.

Case #29

Case #29


Pro

Log in to track your progress.

Case #30

Case #30


Pro

Log in to track your progress.

Case #31

Case #31


Pro

Log in to track your progress.

Call Preparation

Prepare for call efficiently with interactive cases, sample reports, and annotated images.

1,400+ cases  91.25 CME

Call Simulator

   Neuro CT

250 cases

  Neuro MRI

146 cases

   Peds Radiographs

372 cases

   MSK Radiographs

281 cases

   Chest CT

84 cases

   Chest Radiographs

97 cases

   KUB

43 cases

   Body CT

140 cases

   Ultrasound

75 cases

Call Simulator

• Shuffle cases from our courses to simulate the mix of a call shift.
• Submit your own report before reviewing the case write-up.

Neuro Fellowship

Reviews of neuro topics with clinical pearls, differentials, and in-depth discussions.

131 cases  13.1 CME

   Brain Tumors

105 cases

   Neurodegenerative

13 cases

   Congenital Hearing Loss

13 cases

Call Preparation

   Neuro CT

250 cases

   Neuro MRI

146 cases

   Peds Radiographs

372 cases

   MSK Radiographs

281 cases

   Ultrasound

75 cases

   Chest CT

84 cases

   Chest Radiographs

97 cases

   Body CT

127 cases

   KUB

43 cases

Neuro Fellowship

   Brain Tumors

105 cases

   Neurodegenerative

13 cases

Call Simulator

• Shuffle cases from our courses.
• Submit your own report.

CME

• Earn up to 91 CME.
• Claim your CME to receive a certificate.

Call Simulator

• Shuffle cases from our courses to simulate the mix of a call shift.
• Submit your own report before reviewing the case write-up.

CME

• Earn up to 91 CME by completing cases in our radiology courses.
• Claim your CME to receive a certificate.

On Call

Quick references created specifically to help while on call.

  Peds Normals by Age

Reference database of normal imaging from birth to age 16

   Incidental Findings

Summary of consensus guidelines for managing incidental CT findings

   Media Index

Index of select illustrations & videos from our courses

  Neuro CT Mimics

Visual reference for common mimics of pathology on CT

On Call

  Peds Normals by Age

Reference database of normal imaging from birth to age 16

   Incidental Findings

Summary of consensus guidelines for managing incidental CT findings

   Media Index

Index of select illustrations & videos from our courses

  Neuro CT Mimics

Visual reference for common mimics of pathology on CT

Anatomy

Labelled radiographs and CT/MRI series teaching anatomy with a level of detail appropriate for medical students and junior residents.

   Pelvis

Pelvic MRI anatomy

   Chest

Chest radiograph & CT anatomy

   Body

Abdominal CT anatomy

   Cardiac

Cardiac CT anatomy

   Brain

Brain & calvarial anatomy on CT/MRI

   Cranial Nerves

Cranial nerves on MRI

   Shoulder

Shoulder MRI anatomy

   Knee

Knee MRI anatomy

   Temporal Bone

Resident/fellow-level anatomy

Anatomy

   Pelvis

Pelvic MRI anatomy

   Chest

Chest radiograph & CT anatomy

   Body

Abdominal CT anatomy

   Cardiac

Cardiac CT anatomy

   Brain

Brain & calvarial anatomy on CT/MRI

   Cranial Nerves

Cranial nerves on MRI

   Shoulder

Shoulder MRI anatomy

   Knee

Knee MRI anatomy

   Temporal Bone

Resident/fellow-level anatomy

Neuro Courses

Includes our call preparation neuro courses (Neuro CT and Neuro MRI) and our neuro fellowship courses.

   Neuro CT

250 cases

  Neuro MRI

146 cases

   Brain Tumors

105 cases

   Neurodegenerative

13 cases

   Congenital Hearing Loss

Coming soon

Neuro Courses

   Neuro CT

250 cases

   Neuro MRI

146 cases

   Brain Tumors

105 cases

   Neurodegenerative

13 cases

  Congenital Hearing Loss

Coming soon

CME

• Claim your CME to receive a certificate.

Call Simulator

• Shuffle cases from our courses to simulate the mix of a call shift.
• Submit your own report before reviewing the case write-up.

CME

• Earn up to 91 CME by completing cases in our radiology courses.
• Claim your CME to receive a certificate.

   Neuro CT

250 cases

   Neuro MRI

146 cases

   Peds Radiographs

372 cases

   MSK Radiographs

281 cases

   Ultrasound

75 cases

   Chest CT

84 cases

   Chest Radiographs

97 cases

   Body CT

140 cases

   KUB

43 cases

Call Simulator

• Shuffle cases from our courses to simulate the mix of a call shift.
• Submit your own report before reviewing the case write-up.

CME

• Earn up to 91 CME by completing cases in our radiology courses.
• Claim your CME to receive a certificate.