Age: 35
Sex: Female
Indication: Trauma
Chest radiograph
CT
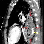
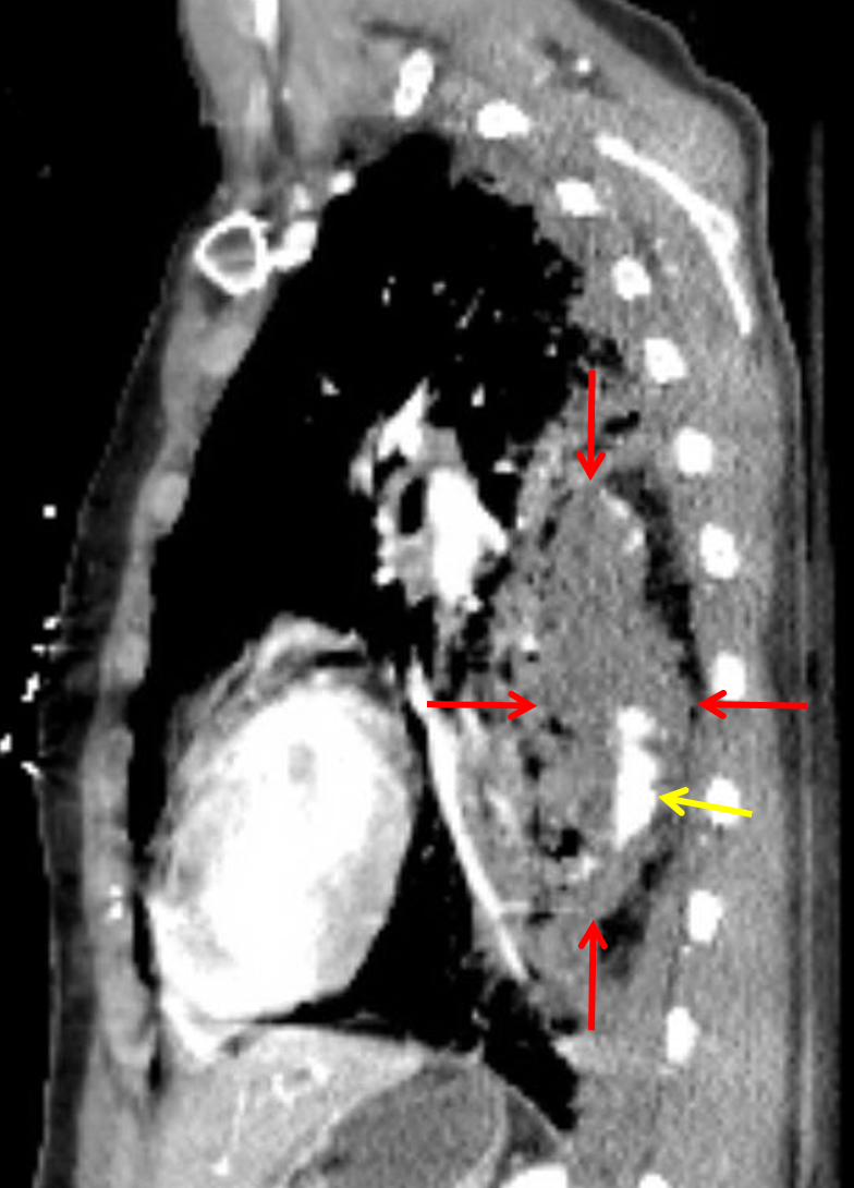
Sample ReportExtensive left pulmonary laceration with a focal intraparenchymal hematoma, predominantly involving the left lower lobe, and evidence of active internal bleeding.
Small left hemopneumothorax with apically directed left thoracostomy tube in place.
Findings concerning for active bleeding in the anterior left upper arm.
Acute fracture of the left fourth through ninth and right third through fifth ribs.
Incompletely imaged acute open fractures of the left radius and ulna and possibly of the trapezoid. Recommend correlation with dedicated radiographs of the forearm and wrist.
Acute comminuted subtrochanteric right femoral fracture without hip dislocation.
Multiple acute spinal fractures are noted, including: Partially imaged acute mildly displaced C6 vertebral fracture involving the left transverse process, pedicle, and lamina as well as the spinous process, acute mildly displaced and comminuted fracture of the left C7 pars interarticularis and adjacent posterior elements, acute minimally displaced fractures of the left T8-T10 transverse processes and possible nondisplaced fractures of the left T5-T7 transverse processes, and multiple superior endplate compression fractures from T2-T4 and T8-T11 with minimal height loss and no bony retropulsion.
250 cases
146 cases
372 cases
281 cases
84 cases
97 cases
43 cases
140 cases
75 cases

• Shuffle cases from our courses to simulate the mix of a call shift.
• Submit your own report before reviewing the case write-up.
250 cases
146 cases
372 cases
281 cases
75 cases
84 cases
97 cases
127 cases
43 cases
105 cases
13 cases
• Shuffle cases from our courses.
• Submit your own report.
• Earn up to 91 CME.
• Claim your CME to receive a certificate.
• Shuffle cases from our courses to simulate the mix of a call shift.
• Submit your own report before reviewing the case write-up.
• Earn up to 91 CME by completing cases in our radiology courses.
• Claim your CME to receive a certificate.
Reference database of normal imaging from birth to age 16
Summary of consensus guidelines for managing incidental CT findings
Index of select illustrations & videos from our courses
Visual reference for common mimics of pathology on CT
Reference database of normal imaging from birth to age 16
Summary of consensus guidelines for managing incidental CT findings
Index of select illustrations & videos from our courses
Visual reference for common mimics of pathology on CT
Pelvic MRI anatomy
Chest radiograph & CT anatomy
Abdominal CT anatomy
Cardiac CT anatomy
Brain & calvarial anatomy on CT/MRI
Cranial nerves on MRI
Shoulder MRI anatomy
Knee MRI anatomy
Resident/fellow-level anatomy
Pelvic MRI anatomy
Chest radiograph & CT anatomy
Abdominal CT anatomy
Cardiac CT anatomy
Brain & calvarial anatomy on CT/MRI
Cranial nerves on MRI
Shoulder MRI anatomy
Knee MRI anatomy
Resident/fellow-level anatomy
250 cases
146 cases
105 cases
13 cases
Coming soon
250 cases
146 cases
105 cases
13 cases
Coming soon
• Claim your CME to receive a certificate.
• Shuffle cases from our courses to simulate the mix of a call shift.
• Submit your own report before reviewing the case write-up.
• Earn up to 91 CME by completing cases in our radiology courses.
• Claim your CME to receive a certificate.
250 cases
146 cases
372 cases
281 cases
75 cases
84 cases
97 cases
140 cases
43 cases
• Shuffle cases from our courses to simulate the mix of a call shift.
• Submit your own report before reviewing the case write-up.
• Earn up to 91 CME by completing cases in our radiology courses.
• Claim your CME to receive a certificate.
|
|
|
|
|
|
|
|

Previous Slice (PC)
Next Slice (PC)
SHIFT
Previous Slice (MAC)
SHIFT
Next Slice (MAC)


Previous series (if multiple)
Next series (if multiple)
Previous case (⌘ ◄ on a mac)
Next case (⌘ ► on a mac)

Toggle dark mode