Case #18 Answers & Discussion
Contributed by Dr. Duy
Your Score and Answers
| Question | Correct Answer(s) | Your Answer | Your Score |
|---|---|---|---|
| What is the cause of the patient’s symptoms? | Neoplastic | 1 /1 | |
| What is the most likely diagnosis? | Neuroendocrine tumor | 1 /1 | |
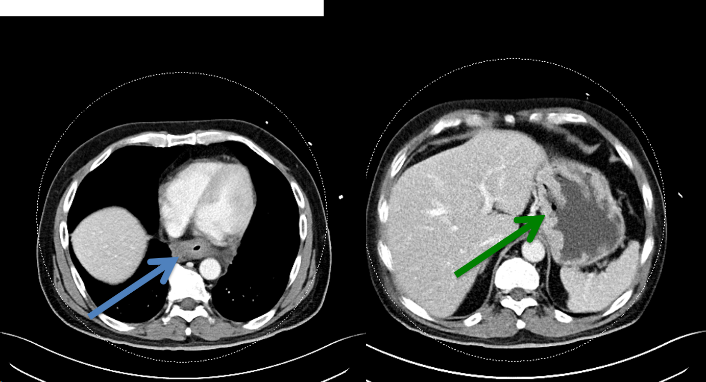
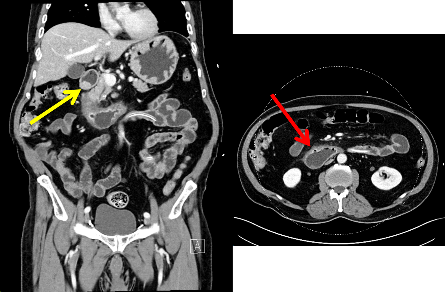
| Where are gastrinomas most commonly located | Between the confluence of the cystic duct and CBD, junction of the 2nd and 3rd portions of the duodenum, and junction of the neck and body of the pancreas. | 1 /1 | |
| In MRCP, what is the expected repetition time (TR) and echo time (TE)? | Long TR, long TE | 1/1 |
Findings
Neuroendocrine tumors
-
Can produce hormones such as insulin, gastrin, glucagon, VIP, or somatostatin. This can cause symptoms. They can also be nonfunctioning, and not produce hormones.
-
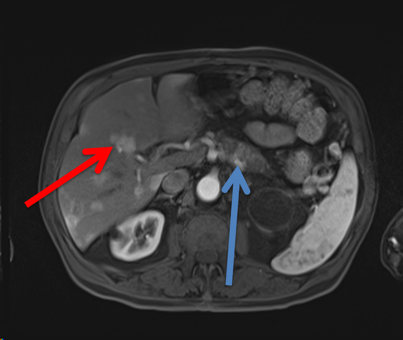
These highly vascular tumors classically show enhancement on arterial phase.
-
Neuroendocrine tumor is in the differential for hypervascular liver metastasis. Remember the mnemonic “CT/MRI”.
-
Choriocarcinoma, thyroid cancer, melanoma, renal cell carcinoma, and islet cell tumor (neuroendocrine tumor)
-
-
- Prognosis depends on the cell type. Insulinomas can be benign, but all other types are usually malignant.
- PET Dotatate is helpful for staging well differentiated neuroendocrine tumors
Gastrinoma
-
90% of gastrinomas occur in the gastrinoma triangle, which is located between the confluence of the cystic duct and CBD, junction of the 2nd and third portions of the duodenum, and junction of the neck and body of the pancreas.
-
Associated with multiple endocrine neoplasia type I (MEN) I.
-
Zollinger-Ellison syndrome is peptic ulcer disease with refractory ulcers due to increased acid production from the tumor.
MRCP Sequences
- MRCP sequences are heavily T2 weighted.
- T2 weighted images have long TR times, and T1 weighted images have short TR times.
- Long TE times allow for tissues to lose transverse magnetization. Water maintains its transverse magnetization, allowing for images of the fluid-filled biliary tree.
References
- Reznek, Rodney H. “CT/MRI of neuroendocrine tumours.” Cancer imaging : the official publication of the International Cancer Imaging Societyvol. 6,Spec No A S163-77. 31 Oct. 2006, doi:10.1102/1470-7330.2006.9037
- Mangrum, Wells I. Duke Review of MRI Principles. Elsevier, 2018.




