Case #5 Answers & Discussion

Contributed by Dr. Duy

Your Score and Answers
Question Correct Answer Your Answer Your Score
What is the most likely diagnosis? Bowel Ischemia 1/1
What is the most likely diagnosis? Ulcerative colitis 1/1
Which of the following is associated with ulcerative colitis? A and B (Colorectal carcinoma & Primary sclerosing cholangitis) 1/1
In a culture of safety, the term “second victim” refers to who? The healthcare worker who caused the error 1/1
Findings
Click here to review the cases.

 

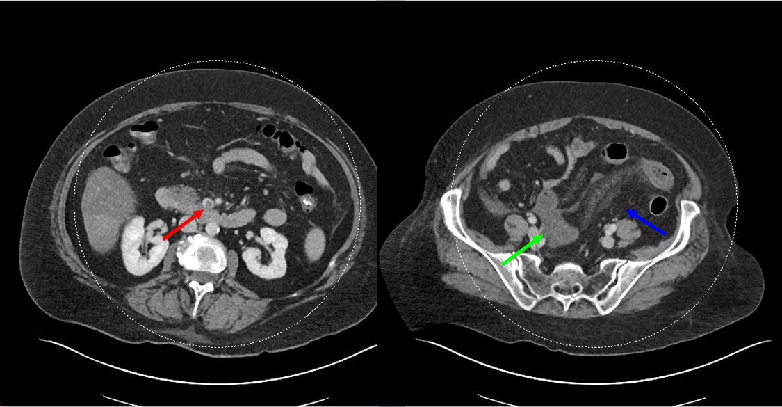
CT images show a thrombus in the SMV (red arrow). Bowel loops are thickened and hypoenhancing (green arrow). There is also mesenteric edema (blue arrow)

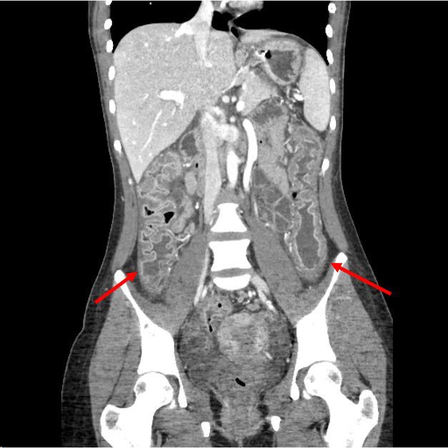
CT shows pancolitis (red arrows). There is also bilateral, symmetric sacroiliitis (blue arrows).

Veno-occlusive mesenteric ischemia
  • Bowel ischemia can be caused by arterial occlusion, venous occlusion, or systemic hypotension.
    • Veno-occlusive ischemia is less common than arterial-occlusive mesenteric ischemia
  • Bowel blood inflow is preserved, but back pressure from the occluded vein prevents outflow.
    • This causes bowel wall thickening, fluid, and mesenteric edema.
    • Bowel wall enhancement is variable, and can be hyperenhancing or hypoenhancing.
  • Lactic acid is unreliable, but maybe elevated in late stages.
    • Normal lactate does NOT exclude ischemia.
Ulcerative Colitis
  • Inflammatory disease of the mucosa and submucosa
  • CT shows bowel wall thickening with mural stratification
  • Ulcerations can be seen.
    • Pseudopolyps, which are islands of tissue surrounded by ulceration, can be seen in severe disease.
  • UC involves the colon, starting at the rectum and progressing proximally.
    • “Backwash ileitis” can also be seen.
  • It can be difficult to differentiate from C. difficile colitis, however look for associations to favor ulcerative colitis.
    • Associations include primary sclerosing cholangitis, colon cancer, seronegative spondyloarthropathy, and uveitis.
The second victim
  • When an error occurs, the healthcare worker who caused the adverse event may feel guilty or traumatized.
  • In a just culture model, the appropriate response to human error is to console the individual and change the system to prevent such an error for happening again.
References
  • Oldenburg WA, Lau LL, Rodenberg TJ, Edmonds HJ, Burger CD. Acute mesenteric ischemia: a clinical review. Arch Intern Med. 2004 May 24;164(10):1054-62. doi: 10.1001/archinte.164.10.1054. PMID: 15159262.
  • Florim, S et al. “Acute mesenteric ischaemia: a pictorial review.” Insights into imaging vol. 9,5 (2018): 673-682. doi:10.1007/s13244-018-0641-2
  • “ABR 2019 noninterpretive skills study guide”, https://www.theabr.org/wp-content/uploads/2018/11/NIS-Study-Guide-2019.pdf
  • Ulcerative Colitis Mark J. Roggeveen, Mikhail Tismenetsky, and Robert Shapiro, RadioGraphics 2006 26:3, 947-951

Call Preparation

Prepare for call efficiently with interactive cases, sample reports, and annotated images.

1,400+ cases  91.25 CME

Call Simulator

   Neuro CT

250 cases

  Neuro MRI

146 cases

   Peds Radiographs

372 cases

   MSK Radiographs

281 cases

   Chest CT

84 cases

   Chest Radiographs

97 cases

   KUB

43 cases

   Body CT

140 cases

   Ultrasound

75 cases

Call Simulator

• Shuffle cases from our courses to simulate the mix of a call shift.
• Submit your own report before reviewing the case write-up.

Neuro Fellowship

Reviews of neuro topics with clinical pearls, differentials, and in-depth discussions.

131 cases  13.1 CME

   Brain Tumors

105 cases

   Neurodegenerative

13 cases

   Congenital Hearing Loss

13 cases

Call Preparation

   Neuro CT

250 cases

   Neuro MRI

146 cases

   Peds Radiographs

372 cases

   MSK Radiographs

281 cases

   Ultrasound

75 cases

   Chest CT

84 cases

   Chest Radiographs

97 cases

   Body CT

127 cases

   KUB

43 cases

Neuro Fellowship

   Brain Tumors

105 cases

   Neurodegenerative

13 cases

Call Simulator

• Shuffle cases from our courses.
• Submit your own report.

CME

• Earn up to 91 CME.
• Claim your CME to receive a certificate.

Call Simulator

• Shuffle cases from our courses to simulate the mix of a call shift.
• Submit your own report before reviewing the case write-up.

CME

• Earn up to 91 CME by completing cases in our radiology courses.
• Claim your CME to receive a certificate.

On Call

Quick references created specifically to help while on call.

  Peds Normals by Age

Reference database of normal imaging from birth to age 16

   Incidental Findings

Summary of consensus guidelines for managing incidental CT findings

   Media Index

Index of select illustrations & videos from our courses

  Neuro CT Mimics

Visual reference for common mimics of pathology on CT

On Call

  Peds Normals by Age

Reference database of normal imaging from birth to age 16

   Incidental Findings

Summary of consensus guidelines for managing incidental CT findings

   Media Index

Index of select illustrations & videos from our courses

  Neuro CT Mimics

Visual reference for common mimics of pathology on CT

Anatomy

Labelled radiographs and CT/MRI series teaching anatomy with a level of detail appropriate for medical students and junior residents.

   Pelvis

Pelvic MRI anatomy

   Chest

Chest radiograph & CT anatomy

   Body

Abdominal CT anatomy

   Cardiac

Cardiac CT anatomy

   Brain

Brain & calvarial anatomy on CT/MRI

   Cranial Nerves

Cranial nerves on MRI

   Shoulder

Shoulder MRI anatomy

   Knee

Knee MRI anatomy

   Temporal Bone

Resident/fellow-level anatomy

Anatomy

   Pelvis

Pelvic MRI anatomy

   Chest

Chest radiograph & CT anatomy

   Body

Abdominal CT anatomy

   Cardiac

Cardiac CT anatomy

   Brain

Brain & calvarial anatomy on CT/MRI

   Cranial Nerves

Cranial nerves on MRI

   Shoulder

Shoulder MRI anatomy

   Knee

Knee MRI anatomy

   Temporal Bone

Resident/fellow-level anatomy

Neuro Courses

Includes our call preparation neuro courses (Neuro CT and Neuro MRI) and our neuro fellowship courses.

   Neuro CT

250 cases

  Neuro MRI

146 cases

   Brain Tumors

105 cases

   Neurodegenerative

13 cases

   Congenital Hearing Loss

Coming soon

Neuro Courses

   Neuro CT

250 cases

   Neuro MRI

146 cases

   Brain Tumors

105 cases

   Neurodegenerative

13 cases

  Congenital Hearing Loss

Coming soon

CME

• Claim your CME to receive a certificate.

Call Simulator

• Shuffle cases from our courses to simulate the mix of a call shift.
• Submit your own report before reviewing the case write-up.

CME

• Earn up to 91 CME by completing cases in our radiology courses.
• Claim your CME to receive a certificate.

   Neuro CT

250 cases

   Neuro MRI

146 cases

   Peds Radiographs

372 cases

   MSK Radiographs

281 cases

   Ultrasound

75 cases

   Chest CT

84 cases

   Chest Radiographs

97 cases

   Body CT

140 cases

   KUB

43 cases

Call Simulator

• Shuffle cases from our courses to simulate the mix of a call shift.
• Submit your own report before reviewing the case write-up.

CME

• Earn up to 91 CME by completing cases in our radiology courses.
• Claim your CME to receive a certificate.