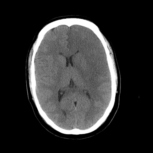
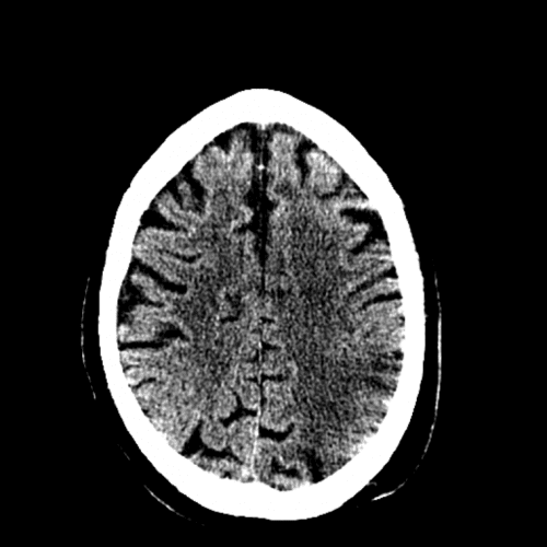
Ischemia on Head CT
This video reviews the findings of early ischemia on head CT. Topics covered include:
- Clinical subtypes of ischemia
- Role of non-contrast head CT in stroke workup
- Dense MCA sign
- Pathophysiology of cytotoxic/ionic edema
- Blurred basal ganglia sign
- Insular ribbon sign




