Neuro CT Mimics

Visual reference for common mimics of pathology on CT
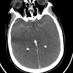
Arachnoid Granulation

Arachnoid Granulation

Mimicking thrombus

Free

Log in to track your progress.

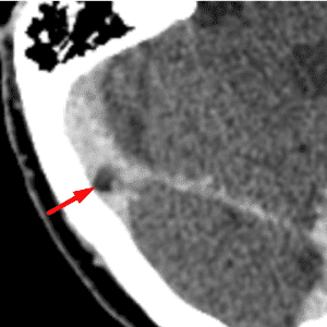
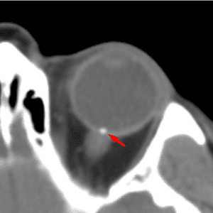
Calcific Scleral Plaques

Calcific Scleral Plaques

Mimicking a foreign body

Free

Log in to track your progress.

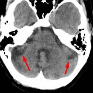
Cerebellar Horizontal Fissure

Cerebellar Horizontal Fissure

Mimicking an infarct

Free

Log in to track your progress.

Choroid Plexus in Foramina of Luschka

Choroid Plexus in Foramina of Luschka

Mimicking hemorrhage or a CP angle mass

Free

Log in to track your progress.

Choroid Plexus in the Temporal Horn

Choroid Plexus in the Temporal Horn

Mimicking hemorrhage or a mass

Free

Log in to track your progress.

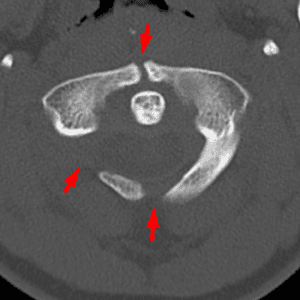
Congenital Anomalies of C1

Congenital Anomalies of C1

Mimicking a fracture

Free

Log in to track your progress.

Cortical Vein

Cortical Vein

Mimicking extra-axial hemorrhage

Free

Log in to track your progress.

Ecchordosis Physaliphora

Ecchordosis Physaliphora

Mimicking malignancy

Free

Log in to track your progress.

3D reconstruction demonstrating bilateral enlarged parietal foramina

Enlarged Parietal Foramina

Mimicking pathology

Free

Log in to track your progress.

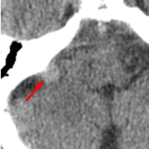
Flocculus

Flocculus

Mimicking a mass

Free

Log in to track your progress.

Inferior Oblique Muscle

Inferior Oblique Muscle

Mimicking a mass

Free

Log in to track your progress.

Limbus Vertebra

Limbus Vertebra

Mimicking a fracture

Free

Log in to track your progress.

Medial Occipital Condyle "Notch"

Medial Occipital Condyle “Notch”

Mimicking fracture

Free

Log in to track your progress.

Mendosal Suture

Mendosal Suture

Mimicking a fracture

Free

Log in to track your progress.

Metopic Suture

Metopic Suture

Mimicking a fracture

Free

Log in to track your progress.

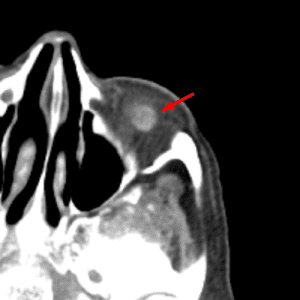
Optic Disc Drusen

Optic Disc Drusen

Mimicking a foreign body or mass

Free

Log in to track your progress.

Postoperative Ocular Device

Postoperative Ocular Device

Mimicking orbital pathology

Free

Log in to track your progress.

Pre-Mental Fat Pad

Pre-Mental Fat Pad

Mimicking an abscess

Free

Log in to track your progress.

Pseudo-Subarachnoid Hemorrhage

Pseudo-Subarachnoid Hemorrhage

Mimicking true subarachnoid hemorrhage

Free

Log in to track your progress.

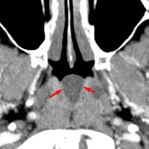
Tornwaldt Cyst

Tornwaldt Cyst

Mimicking a mass

Free

Log in to track your progress.

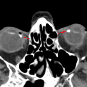
Trochlear Calcification

Trochlear Calcification

Mimicking an avulsion fracture or foreign body

Free

Log in to track your progress.

Wormian Bones

Wormian Bones

Mimicking a fracture

Free

Log in to track your progress.

Call Preparation

Prepare for call efficiently with interactive cases, sample reports, and annotated images.

1,400+ cases  91.25 CME

Call Simulator

   Neuro CT

250 cases

  Neuro MRI

146 cases

   Peds Radiographs

372 cases

   MSK Radiographs

281 cases

   Chest CT

84 cases

   Chest Radiographs

97 cases

   KUB

43 cases

   Body CT

140 cases

   Ultrasound

75 cases

Call Simulator

• Shuffle cases from our courses to simulate the mix of a call shift.
• Submit your own report before reviewing the case write-up.

Neuro Fellowship

Reviews of neuro topics with clinical pearls, differentials, and in-depth discussions.

131 cases  13.1 CME

   Brain Tumors

105 cases

   Neurodegenerative

13 cases

   Congenital Hearing Loss

13 cases

Call Preparation

   Neuro CT

250 cases

   Neuro MRI

146 cases

   Peds Radiographs

372 cases

   MSK Radiographs

281 cases

   Ultrasound

75 cases

   Chest CT

84 cases

   Chest Radiographs

97 cases

   Body CT

127 cases

   KUB

43 cases

Neuro Fellowship

   Brain Tumors

105 cases

   Neurodegenerative

13 cases

Call Simulator

• Shuffle cases from our courses.
• Submit your own report.

CME

• Earn up to 91 CME.
• Claim your CME to receive a certificate.

Call Simulator

• Shuffle cases from our courses to simulate the mix of a call shift.
• Submit your own report before reviewing the case write-up.

CME

• Earn up to 91 CME by completing cases in our radiology courses.
• Claim your CME to receive a certificate.

On Call

Quick references created specifically to help while on call.

  Peds Normals by Age

Reference database of normal imaging from birth to age 16

   Incidental Findings

Summary of consensus guidelines for managing incidental CT findings

   Media Index

Index of select illustrations & videos from our courses

  Neuro CT Mimics

Visual reference for common mimics of pathology on CT

On Call

  Peds Normals by Age

Reference database of normal imaging from birth to age 16

   Incidental Findings

Summary of consensus guidelines for managing incidental CT findings

   Media Index

Index of select illustrations & videos from our courses

  Neuro CT Mimics

Visual reference for common mimics of pathology on CT

Anatomy

Labelled radiographs and CT/MRI series teaching anatomy with a level of detail appropriate for medical students and junior residents.

   Pelvis

Pelvic MRI anatomy

   Chest

Chest radiograph & CT anatomy

   Body

Abdominal CT anatomy

   Cardiac

Cardiac CT anatomy

   Brain

Brain & calvarial anatomy on CT/MRI

   Cranial Nerves

Cranial nerves on MRI

   Shoulder

Shoulder MRI anatomy

   Knee

Knee MRI anatomy

   Temporal Bone

Resident/fellow-level anatomy

Anatomy

   Pelvis

Pelvic MRI anatomy

   Chest

Chest radiograph & CT anatomy

   Body

Abdominal CT anatomy

   Cardiac

Cardiac CT anatomy

   Brain

Brain & calvarial anatomy on CT/MRI

   Cranial Nerves

Cranial nerves on MRI

   Shoulder

Shoulder MRI anatomy

   Knee

Knee MRI anatomy

   Temporal Bone

Resident/fellow-level anatomy

Neuro Courses

Includes our call preparation neuro courses (Neuro CT and Neuro MRI) and our neuro fellowship courses.

   Neuro CT

250 cases

  Neuro MRI

146 cases

   Brain Tumors

105 cases

   Neurodegenerative

13 cases

   Congenital Hearing Loss

Coming soon

Neuro Courses

   Neuro CT

250 cases

   Neuro MRI

146 cases

   Brain Tumors

105 cases

   Neurodegenerative

13 cases

  Congenital Hearing Loss

Coming soon

CME

• Claim your CME to receive a certificate.

Call Simulator

• Shuffle cases from our courses to simulate the mix of a call shift.
• Submit your own report before reviewing the case write-up.

CME

• Earn up to 91 CME by completing cases in our radiology courses.
• Claim your CME to receive a certificate.

   Neuro CT

250 cases

   Neuro MRI

146 cases

   Peds Radiographs

372 cases

   MSK Radiographs

281 cases

   Ultrasound

75 cases

   Chest CT

84 cases

   Chest Radiographs

97 cases

   Body CT

140 cases

   KUB

43 cases

Call Simulator

• Shuffle cases from our courses to simulate the mix of a call shift.
• Submit your own report before reviewing the case write-up.

CME

• Earn up to 91 CME by completing cases in our radiology courses.
• Claim your CME to receive a certificate.